
STUDIO ODONTOIATRICO ILARI & BILLI
I nostri casi clinici
Implantologia a carico immediato
Risultato estetico finale di una riabilitazione di entrambe le arcate con la procedura del carico immediato. Intervento eseguito in sedazione cosciente in presenza dell’anestesista.
Implantologia a carico immediato
Ripristino estetico e funzionale mediante una riabilitazione su impianti carico immediato dell’arcata superiore In una paziente con grave atrofia dei settori posteriori.
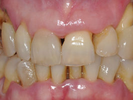
Protesi fissa adesiva
Ripristino estetico e funzionale con faccette estetiche, corone adesive e intarsi in un paziente con dentatura usurata.
Recupero dente incrinato
Realizzazione di un intarsio in disilicato di litio in dente fratturato e sintomatico.
Protesi adesiva e parodontologia
Paziente insoddisfatta dell’estetica che viene trattata con chirurgia mucogengivale per ricoprire le recessioni e corone adesive in ceramica
Faccette in ceramica
Caso complesso di sostituzione di un canino da latte con impianto e realizzazione di faccette dei settori anteriori per armonizzare il sorriso
Ortodonzia e parodontologia
Il giovane paziente è in cura ortodontica in altro studio. Tramite un trattamento combinato ortodontico e parodontale si ristabiliscono salute gengivale e un corretto rapporto tra le arcate dentarie.
Chirurgia mucogengivale
Ricopertura delle radici superiori tramite chirurgia parodontale.
Faccetta di incisivo laterale superiore
Correzione della posizione dell’incisivo laterale di sinistra con faccetta adesiva in ceramica.
Protesi fissa
Rifacimento delle corone dei centrali superiori.
Estrazioni denti del giudizio
Estrazione di due denti del giudizio complicati in presenza dell’anestesista.
Estetica
Trattamento delle macchie da fluorosi con tecnica minimamente invasive nel rispetto dei denti e del budget.
Chirurgia mucogengivale
Ricopertura di un incisivo inferiore con intervento di chirurgia mucogengivale.
Impianto singolo incisivo centrale
Sostituzione di un centrale superiore in giovane ragazzo che lo ha perduto per un trauma.
Protesi fissa e paradontologia
Riabilitazione di entrambe le arcate gravemente usurate tramite chirurgia parodontale e protesi fissa
Protesi fissa e paradontologia
Paziente affetta da parodontite trattata con chirurgia parodontale e protesi fissa
Ortodonzia Invisibile
Lorem ipsum dolor sit amet, consectetur adipiscing elit, sed do eiusmod tempor incididunt ut labore et dolore magna aliqua. Ut enim ad minim veniam, quis nostrud exercitation ullamco laboris nisi ut aliquip ex ea commodo consequat.
Ortodonzia Invisibile
Lorem ipsum dolor sit amet, consectetur adipiscing elit, sed do eiusmod tempor incididunt ut labore et dolore magna aliqua. Ut enim ad minim veniam, quis nostrud exercitation ullamco laboris nisi ut aliquip ex ea commodo consequat.

Ortodonzia Fissa
Lorem ipsum dolor sit amet, consectetur adipiscing elit, sed do eiusmod tempor incididunt ut labore et dolore magna aliqua. Ut enim ad minim veniam, quis nostrud exercitation ullamco laboris nisi ut aliquip ex ea commodo consequat.
Ortodonzia Fissa
Lorem ipsum dolor sit amet, consectetur adipiscing elit, sed do eiusmod tempor incididunt ut labore et dolore magna aliqua. Ut enim ad minim veniam, quis nostrud exercitation ullamco laboris nisi ut aliquip ex ea commodo consequat.
Ortodonzia Invisibile
Lorem ipsum dolor sit amet, consectetur adipiscing elit, sed do eiusmod tempor incididunt ut labore et dolore magna aliqua. Ut enim ad minim veniam, quis nostrud exercitation ullamco laboris nisi ut aliquip ex ea commodo consequat.
Ortodonzia Invisibile
Lorem ipsum dolor sit amet, consectetur adipiscing elit, sed do eiusmod tempor incididunt ut labore et dolore magna aliqua. Ut enim ad minim veniam, quis nostrud exercitation ullamco laboris nisi ut aliquip ex ea commodo consequat.
Ortodonzia Fissa e Mobile
Lorem ipsum dolor sit amet, consectetur adipiscing elit, sed do eiusmod tempor incididunt ut labore et dolore magna aliqua. Ut enim ad minim veniam, quis nostrud exercitation ullamco laboris nisi ut aliquip ex ea commodo consequat.
-3.png)
























































